Case 21

Amyloidosis
Courtesy of: AMC Echolab, AMC, The Netherlands
<flash>file=E00199.swf <flash>file=E00200.swf
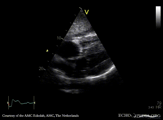
PLAX: concentric left ventricle hypertrophy in a patient with amyloidosis PSAX: concentric left and right ventricle hypertrophy
Magnifier.pngenlarge

Ppt logo.pngdownload file to use in your powerpoint presentation

Magnifier.pngenlarge

Ppt logo.pngdownload file to use in your powerpoint presentation

<flash>file=E00201.swf <flash>file=E00202.swf
A4CH: concentric left and right ventricle hypertrophy with reduced systolic function, biatrial enlargement Subcostal view: concentric left and right ventricle hypertrophy
Magnifier.pngenlarge

Ppt logo.pngdownload file to use in your powerpoint presentation

Magnifier.pngenlarge

Ppt logo.pngdownload file to use in your powerpoint presentation

E00203.jpg
Pulsed-wave Doppler signal: restrictive pattern of mitral inflow