Cardiomyopathy

From Echopedia
Jump to navigation Jump to search

Cardiomyopathy (CMP) is a collective term for various diseases of the heart muscle (myocardium). For various reasons, the function of the myocardium decreased (see table). The different variants of a CMP are generally classified on the basis of echocardiographic characteristics.

LV function decline in most common cardiomyopathy
Systolic function Diastolic Function
Dilated CMP =/↓
Hypertrophic CMP
Restrictive CMP =

Click here for detailed information on various cardiomyopathy.

Listed below are the main disorders and their characteristics with examples.1
Condition Features Example
Arrythmogene right ventricular cardiomyopathy (ARVC)
  • Fibrofatty degeneration of the RV.
  • Myocardial degeneration leads to RV dilation and poor RVF.
  • Ventricular fibrillation by slow conduction velocities, guide block and spatial variation in conduction velocity.
  • Aneurysms of the RV free wall.
  • Echodense moderator band and myocardial RV free wall.
  • Genetic component
  • Rare 1:5000 people.
Video
Echodense RV free wall for suspected ARVC
ARVC1.jpg
Decreased RV strain in ARVC
Dilated cardiomyopathy (DCM)
  • It is the most common form of cardiomyopathy.
  • Also known as congestive cardiomyopathy.
  • Poor LVF and LV dilatation.
  • Arrhythmias (atrial fibrillation 20-30%).
  • Clot formation, which may lead to thrombo-embolic complications.
  • Often accompanied by pulmonary hypertension, dilation of other compartments, and an insufficiency of mitral and/or tricuspid valve
  • Familial DCM's common to autosomal dominant, autosomal recessive and sex-linked inheritance.
  • Causes:
    • (post-) infectious: various viruses and bacteria, as at the final stage of myocarditis.
    • intoxication: cocaine, alcohol abuse.
    • iatrogenic: some chemostatica, X-ray radiation.
    • Metabolic: vitamin B1 deficiency.
    • -idiopathic: In approximately 30% of cases, no cause is found
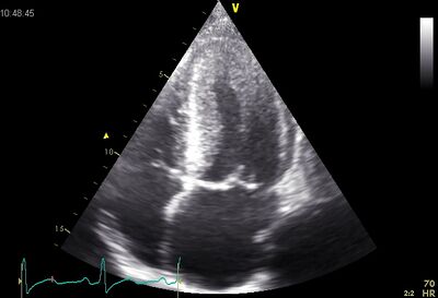
DCM01.jpg
Dilated LV on AP4CH
LVF slecht05.jpg
Dilated LV on PLAX
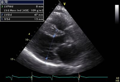
EPSS01.jpg
EPSS is a useful measurement to follow up DCM
Hypertrophic cardiomyopathy (HCM)
  • 65% asymmetric hypertrophy of the myocardium, usually ventricular septum sometimes apical involvement.
  • 35% symmetrical hypertrophy of the myocardium (not to be confused with aortic stenosis or hypertension).
  • Small LV lumen.
  • Preserved systolic LV function (EF normal or slightly decreased)
  • Diastolic dysfunction.
  • Autosomal dominant progressive deviation from nature.
  • Could be associated with sudden cardiac death due to ventricular fibrillation, an increased risk of thromboembolism.
  • Heart failure can be caused by the rigidity of the thickened heart muscle (diastolic heart failure), by an obstruction in the LVOT (SAM) and is associated with mitral valvular insufficiency. The course of the disease is progressive.
  • Occurs in persons 1:500-1000
Asym.cmp1.jpg
Asymmetric hypertrophy
HCM01.jpg
Symmetrical hypertrophy
ApicHCM.jpg
Apical hypertrophy
Non-compaction cardiomyopathy (NCCMP)
  • LV wall has a spongy appearance.
  • Jenni criteria (Heart 2007).
  • Also called insulated non compaction of the ventricular myocardium (INVM), it is a rare form of congenital heart disease in which the tissue of the ventricular myocardium is not well constructed in terms of texture.
  • After HCM DCM, it is the most common cause of primary cardiomyopathy in children.
  • It is a congenital defect, which occurs in the 20th week of pregnancy.
  • The condition is expressed by heart failure, arrhythmias, and an increased risk of thrombus formation.
  • The disorder often manifests itself later in life and has a high mortality rate due to heart failure and arrhythmias.
NCCMP02.jpg
NCCMP with crypts and apical midventriculair
Video
NCCCMP on PSax
Restrictive cardiomyopathy
  • Stiffened myocardium.
  • This form comes after at least 1 and is usually associated with storage diseases, such as sarcoidosis, amyloidosis, and the like.
  • Preserved systolic LVF. LV is not dilated.
  • Diastolic dysfunction (see fig.)
  • LV and RV may be hypertrophied.
  • Dilated atria and VCI.
  • Pulmonary hypertension.
  • Myocardial echo during and amyloidosis speckled
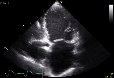
Restrcmp.jpg
Abnormally low É in restrictive cardiomyopathy
Tako-tsubo cardiomyopathy
  • Takotsubo is named after the ceramic pots used to trap octopus in Japan.
  • Apical ballooning, akinetic of the apex. This gives the LV the octupus trap shape.
  • Manifests itself as an acute myocardial infarction with ST elevations, however, no significant coronary artery disease.
  • Is more common in women than in men, the average age of 62 to 75 years.
  • Stress induced, is triggered by an acute illness or intense emotional or physical stress
  • Also called "broken heart syndrome" or "Stress CMP".
  • LV normalizes in a few days to several weeks.
TakoTsubo01.jpg
Apical ballooning

References

<biblio>

  1. 1 [http://www.uptodate.com/contents/echocardiographic-recognition-of-cardiomyopathies?source=search_result&search=cardiomyopathy+echo&selectedTitle=1~150%7C Echocardiographic
  2. 2 recognition of cardiomyopathies]
  3. 3 Download IDN Poker APk
  4. 4 Deposit IDNPoker Terbaru
  5. 5 Daftar IDN Poker Online
  6. 6 IDN Poker
  7. 7 IDN Poker
  8. 8 Togel Hongkong

</biblio>