| Severe tricuspid regurgitation
|
|
|
| Courtesy of: AMC Echolab, AMC, The Netherlands
|
|
|
| A4CH: dilated right ventricle and right atrium, pacemaker lead in situ
|
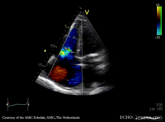
A4CH with Color Doppler: severe tricuspid regurgitation
|
enlarge
download file to use in your powerpoint presentation
|
enlarge
download file to use in your powerpoint presentation
|
|
|
|
|
| A4CH: coronary sinus a vue
|
PSAX with Color Doppler: severe tricuspid regurgitation
|
enlarge
download file to use in your powerpoint presentation
|
enlarge
download file to use in your powerpoint presentation
|
|
|
|
|
|
| Continuous-wave signal of tricuspid regurgitation
|
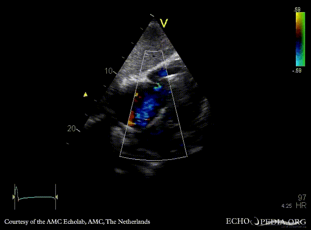
Subcostal view: severe tricuspid regurgitation
|
|
|
enlarge
download file to use in your powerpoint presentation
|
|
|
|
|
|
| Dilated vena cava inferior, no diameter variations during respiration
|
Pulsed-wave Doppler signal of hepatic veins: systolic flow reversal
|
|
|
|
|
|
|
|
|
|
|
|
|
|
|