| Prolaps of PMVL
|
|
|
| Courtesy of: AMC Echolab, AMC, The Netherlands
|
|
|
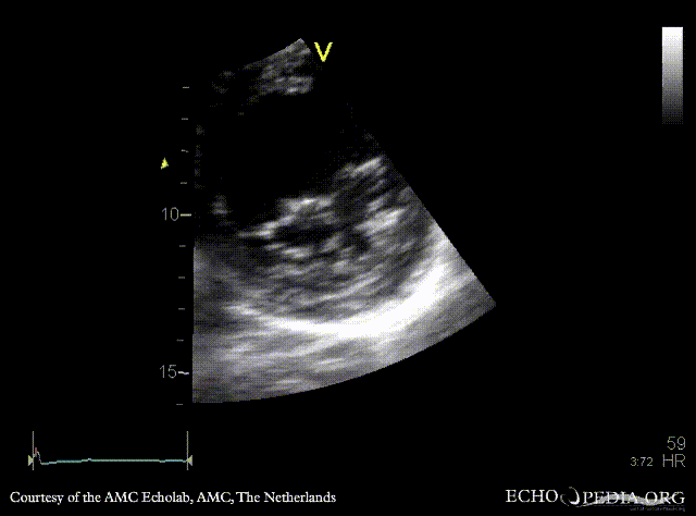
| PLAX: thickend mitral valve leaflets, prolaps of PMVL
|
M-Mode through left ventricle, dilated LV
|
enlarge
download file to use in your powerpoint presentation
|
|
|
|
|
|
| PSAX: thickend mitral valve leaflets, prolaps of PMVL
|
A4CH
|
enlarge
download file to use in your powerpoint presentation
|
enlarge
download file to use in your powerpoint presentation
|
|
|
|
|
| A2CH
|
A3CH
|
enlarge
download file to use in your powerpoint presentation
|
enlarge
download file to use in your powerpoint presentation
|
|
|
|
|
| A3CH with Color Doppler, moderate late systolic mitral regurgitation
|
A4CH
|
enlarge
download file to use in your powerpoint presentation
|
enlarge
download file to use in your powerpoint presentation
|
|
|
|
|
|
|
|
|
|
|
|