Case 107

Mechanical mitral valve prosthesis
Courtesy of: AMC Echolab, AMC, The Netherlands
E00596.gif E00597.gif
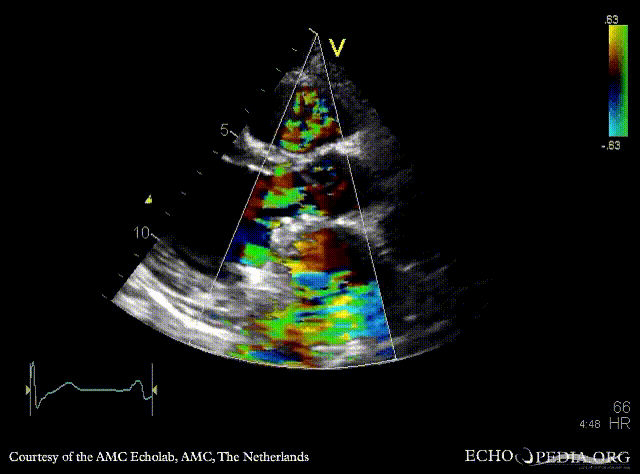
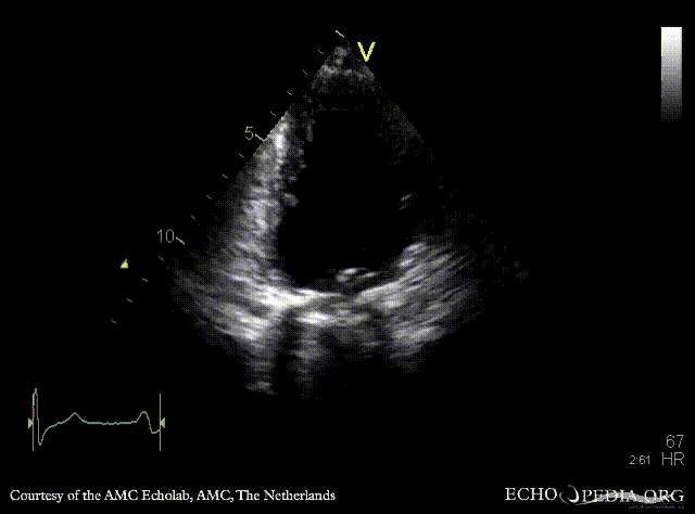
PLAX: mechanical mitral valve prosthesis, dilated left ventricle and left atrium PLAX with Color Dopler: no mitral regurgitation
Magnifier.pngenlarge

Ppt logo.pngdownload file to use in your powerpoint presentation

Magnifier.pngenlarge

Ppt logo.pngdownload file to use in your powerpoint presentation

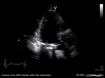
E00598.gif E00599.gif
A4CH A2CH
Magnifier.pngenlarge

Ppt logo.pngdownload file to use in your powerpoint presentation

Magnifier.pngenlarge

Ppt logo.pngdownload file to use in your powerpoint presentation

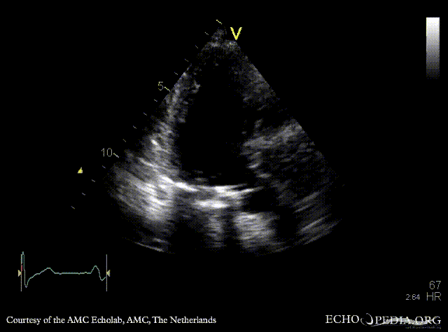
E00600.gif E00601.gif
A3CH A3CH with Color Doppler
Magnifier.pngenlarge

Ppt logo.pngdownload file to use in your powerpoint presentation

Magnifier.pngenlarge

Ppt logo.pngdownload file to use in your powerpoint presentation

E00602.gif
E00603.jpg
A4CH with Color Doppler Continuous-wave Doppler signal of transmitral flow
Magnifier.pngenlarge

Ppt logo.pngdownload file to use in your powerpoint presentation