Case 111
Jump to navigation
Jump to search
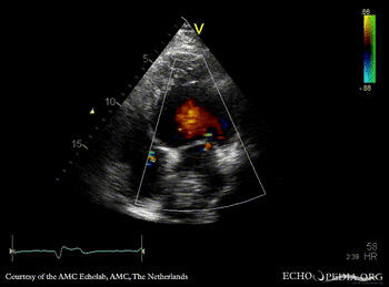
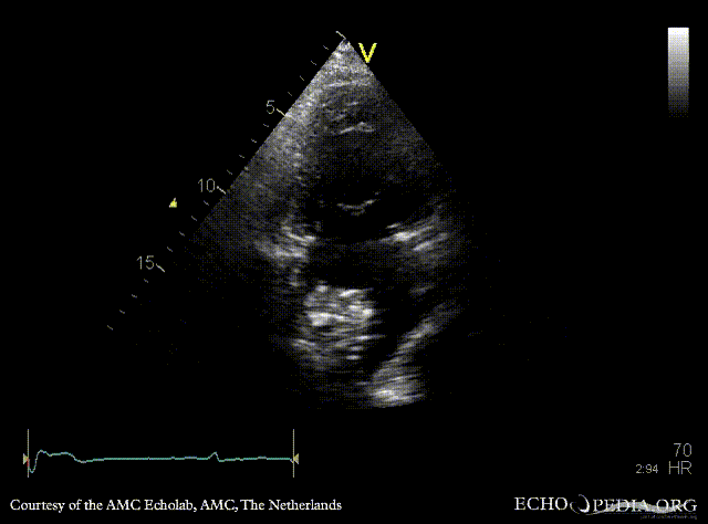
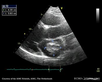
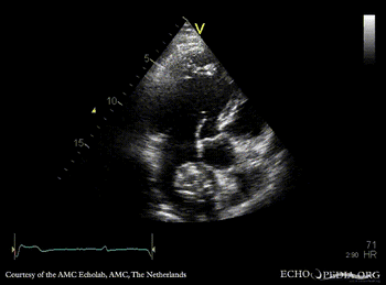
| Courtesy of: AMC Echolab, AMC, The Netherlands | |
| PLAX: dilated left ventricle, myxoma in left atrium | PLAX: dimensions of myxoma |
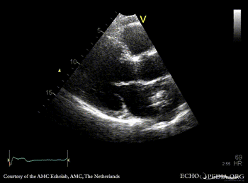
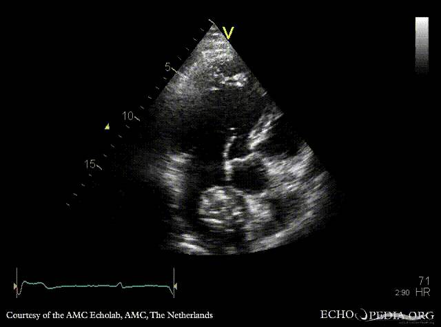
| A4CH | A2CH |
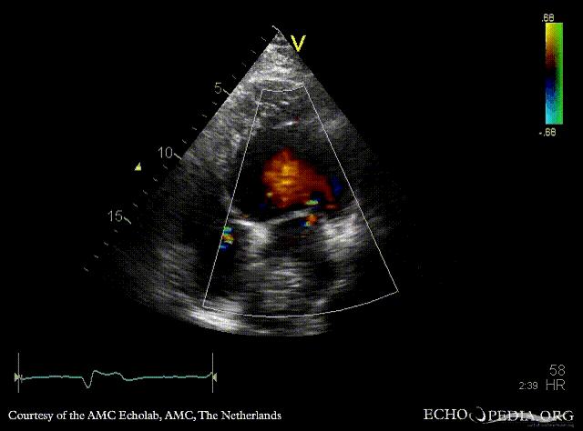
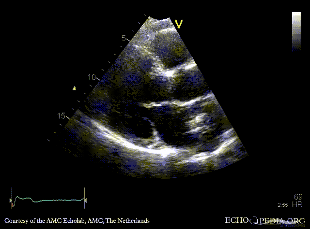
| A3CH | A4CH with Color Doppler: moderate mitral regurgitation |