Case 113

From Echopedia
Jump to navigation Jump to search
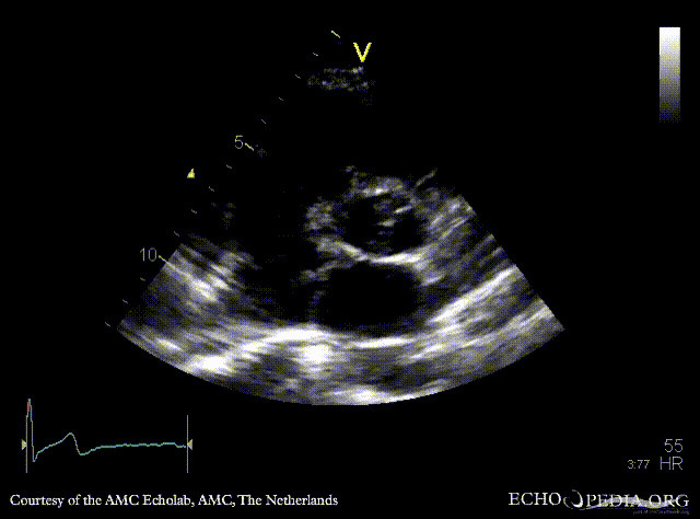
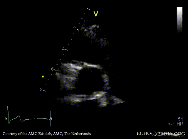
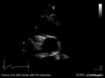
Eustachian valve, LCA and RCA a vue
Courtesy of: AMC Echolab, AMC, The Netherlands
E00640.gif E00641.gif
PSAX: Eustachian valve in right atrium, left coronary artery a vue PSAX: right coronary artery a vue
Magnifier.pngenlarge

Ppt logo.pngdownload file to use in your powerpoint presentation

Magnifier.pngenlarge

Ppt logo.pngdownload file to use in your powerpoint presentation

E00642.gif
A4CH: Eustachian valve in right atrium
Magnifier.pngenlarge

Ppt logo.pngdownload file to use in your powerpoint presentation