Case 117
| Courtesy of: AMC Echolab, AMC, The Netherlands | |
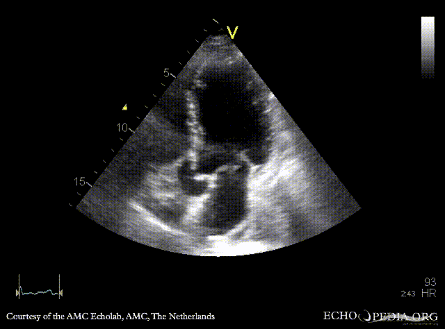
| PSAX: mobile fragment of papillary muscle | A5CH |
| A2CH | A4CH: severe mitral regurgitation, excentric jet |
| Courtesy of: AMC Echolab, AMC, The Netherlands | |
| PSAX: mobile fragment of papillary muscle | A5CH |
| A2CH | A4CH: severe mitral regurgitation, excentric jet |