Case 125
Jump to navigation
Jump to search
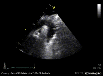
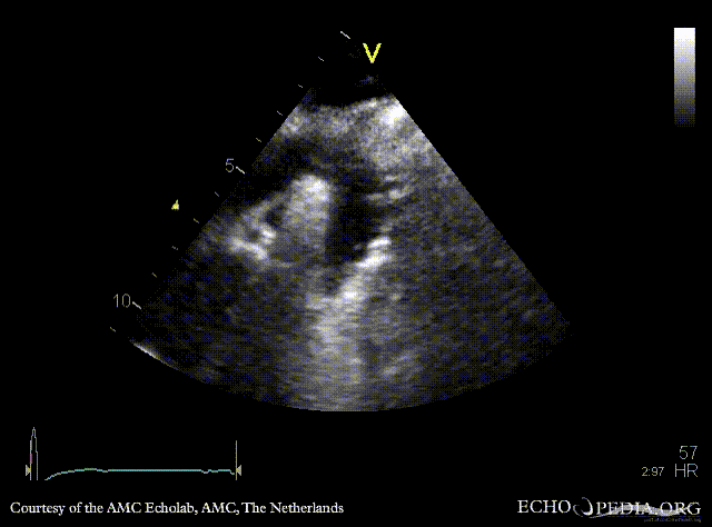
| Courtesy of: AMC Echolab, AMC, The Netherlands | |
| Suprasternal view | Suprasternal view with Color Doppler |
| Continuous-wave signal of flow in arteria pulmonalis | PSAX with Color Doppler |