Case 131

Cardial sarcoidosis
Courtesy of: AMC Echolab, AMC, The Netherlands
E00705.gif E00706.gif
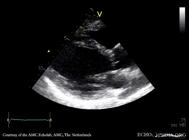
PLAX: dilated left ventricle, reduced systolic function PSAX
Magnifier.pngenlarge

Ppt logo.pngdownload file to use in your powerpoint presentation

Magnifier.pngenlarge

Ppt logo.pngdownload file to use in your powerpoint presentation

E00707.gif E00708.gif
A4CH: dilated left ventricle, poor function, akinesia of inferoseptal wall A2CH: dilated left ventricle, poor function, akinesia of inferior wall
Magnifier.pngenlarge

Ppt logo.pngdownload file to use in your powerpoint presentation

Magnifier.pngenlarge

Ppt logo.pngdownload file to use in your powerpoint presentation

E00709.gif
A3CH: dilated left ventricle, poor function, akinesia of posterior wall
Magnifier.pngenlarge

Ppt logo.pngdownload file to use in your powerpoint presentation