Case 132

From Echopedia
Jump to navigation Jump to search
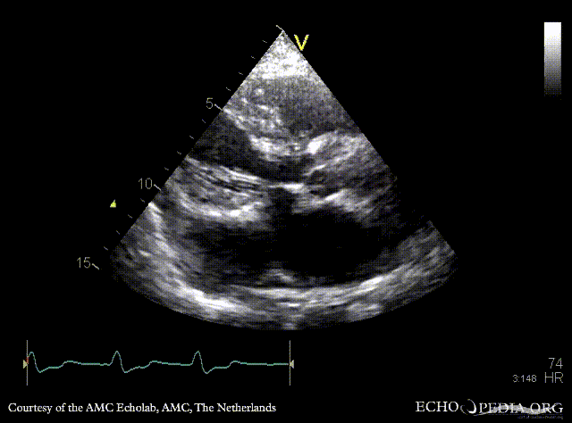
Dilated coronary sinus
Courtesy of: AMC Echolab, AMC, The Netherlands
E00710.gif E00711.gif
PLAX: dilated coronary sinus A4CH with Color Doppler: severe tricuspid regurgitation
Magnifier.pngenlarge

Ppt logo.pngdownload file to use in your powerpoint presentation

Magnifier.pngenlarge

Ppt logo.pngdownload file to use in your powerpoint presentation

E00712.jpg
E00713.gif
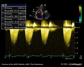
Continuous-wave Doppler signal of tricuspid regurgitation, pulmonary hypertension A4CH: dilated coronary sinus
Magnifier.pngenlarge

Ppt logo.pngdownload file to use in your powerpoint presentation

E00714.jpg
E00715.gif
A4CH: diameter of dilated coronary sinus PSAX: dilated coronary sinus
Magnifier.pngenlarge

Ppt logo.pngdownload file to use in your powerpoint presentation