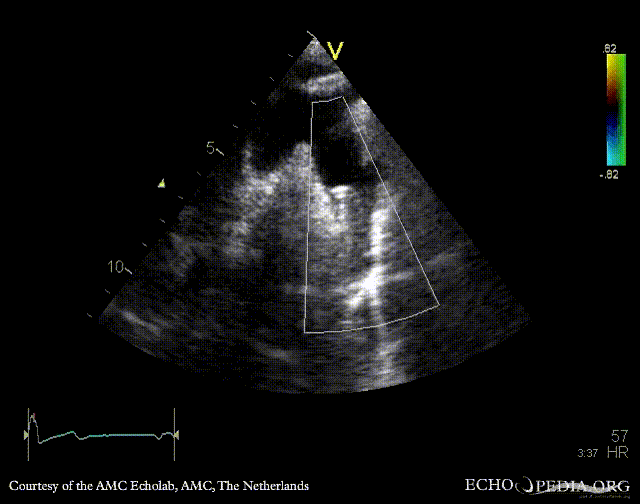
Case 133

Stent in aorta descendends
Courtesy of: AMC Echolab, AMC, The Netherlands
E00716.gif E00717.gif
Suprasternal view: stent in aorta descendends, status after correction of coarctatio aortae Suprasternal view with color doppler
Magnifier.pngenlarge

Ppt logo.pngdownload file to use in your powerpoint presentation

Magnifier.pngenlarge

Ppt logo.pngdownload file to use in your powerpoint presentation

E00718.jpg
Continuous-wave Doppler signal of high flow in descending aorta