Open main menu
Home
Random
Log in
Settings
About Echopedia
Disclaimers
Echopedia
Search
Case 14
Language
Watch
Edit
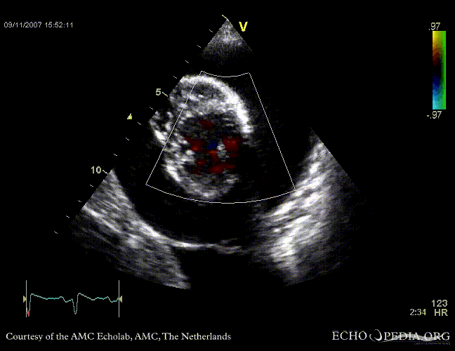
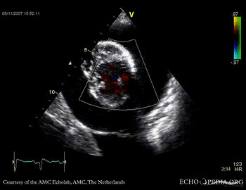
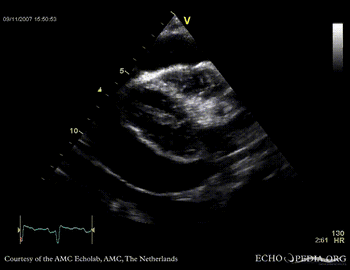
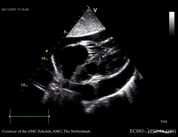
Tamponade
Courtesy of:
J. Vleugels, AMC, The Netherlands
tamponade 2
tamponade 3
enlarge
download file to use in your powerpoint presentation
enlarge
download file to use in your powerpoint presentation
tamponade 4
tamponade 11
enlarge
download file to use in your powerpoint presentation
enlarge
download file to use in your powerpoint presentation