Case 149

From Echopedia
Jump to navigation Jump to search
Severe aortic valve stenosis and plaque in abdominal aorta
Courtesy of: AMC Echolab, AMC, The Netherlands
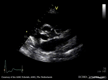
E00772.gif E00773.gif
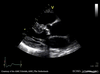
PLAX: concentric hypertrophy of left ventricle, thickend aortic valve PSAX: concentric hypertrophy of left ventricle
Magnifier.pngenlarge

Ppt logo.pngdownload file to use in your powerpoint presentation

Magnifier.pngenlarge

Ppt logo.pngdownload file to use in your powerpoint presentation

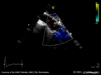
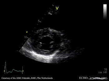
E00774.gif E00775.gif
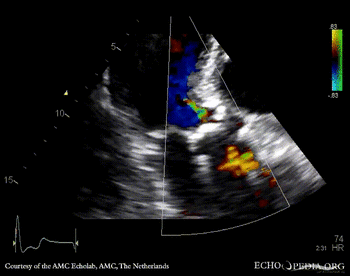
PSAX: stenosis of aortic valve PLAX with Color Doppler: high velocity transaortic flow, mild aortic regurgitation
Magnifier.pngenlarge

Ppt logo.pngdownload file to use in your powerpoint presentation

Magnifier.pngenlarge

Ppt logo.pngdownload file to use in your powerpoint presentation

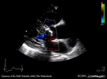
E00776.gif E00777.gif
A4CH: concentric hypertrophy of left ventricle A3CH with Color Doppler: high velocity transaortic flow, mild aortic regurgitation
Magnifier.pngenlarge

Ppt logo.pngdownload file to use in your powerpoint presentation

Magnifier.pngenlarge

Ppt logo.pngdownload file to use in your powerpoint presentation

E00778.jpg
E00779.jpg
Continuous-wave Doppler signal of transaortic flow Pulsed-wave signal of flow in LVOT
E00780.gif E00781.gif
Subcostal view: plaque in abdominal aorta Subcostal view: plaque in abdominal aorta
Magnifier.pngenlarge

Ppt logo.pngdownload file to use in your powerpoint presentation

Magnifier.pngenlarge

Ppt logo.pngdownload file to use in your powerpoint presentation