Case 153

Aortic dissection type A
Courtesy of: AMC Echolab, AMC, The Netherlands
E00791.gif
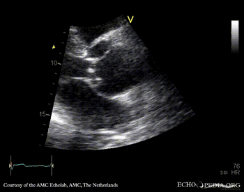
E00792.jpg
PLAX: dilated aortic root, dissection flap in ascending aorta PLAX: diameter of aortic root
Magnifier.pngenlarge

Ppt logo.pngdownload file to use in your powerpoint presentation

E00793.gif E00794.gif
PSAX A5CH: dilated aortic root, dissection flap in ascending aorta
Magnifier.pngenlarge

Ppt logo.pngdownload file to use in your powerpoint presentation

Magnifier.pngenlarge

Ppt logo.pngdownload file to use in your powerpoint presentation

E00795.gif E00796.gif
A3CH A3CH with Color Doppler: mild aortic regurgitation
Magnifier.pngenlarge

Ppt logo.pngdownload file to use in your powerpoint presentation

Magnifier.pngenlarge

Ppt logo.pngdownload file to use in your powerpoint presentation

E00797.gif E00798.gif
Suprasternal view: dissection flap in aortic arch Subcostal view: dissection flap in abdominal aorta
Magnifier.pngenlarge

Ppt logo.pngdownload file to use in your powerpoint presentation

Magnifier.pngenlarge

Ppt logo.pngdownload file to use in your powerpoint presentation

E00799.gif E00800.gif
Subcostal view with Color Doppler: flow between true and false lumen Suprasternal view: dissection flap in ascending aorta
Magnifier.pngenlarge

Ppt logo.pngdownload file to use in your powerpoint presentation

Magnifier.pngenlarge

Ppt logo.pngdownload file to use in your powerpoint presentation