Case 161

Abscess of aortic valve prosthesis
Courtesy of: AMC Echolab, AMC, The Netherlands
E00844.gif E00845.gif
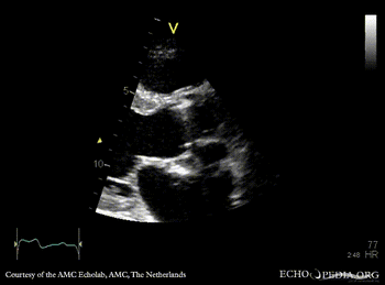
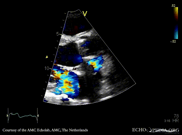
PLAX: abscess of aortic valve prosthesis PLAX with Color Doppler: severe mitral regurgitation
Magnifier.pngenlarge

Ppt logo.pngdownload file to use in your powerpoint presentation

Magnifier.pngenlarge

Ppt logo.pngdownload file to use in your powerpoint presentation

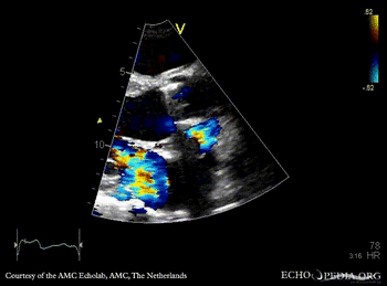
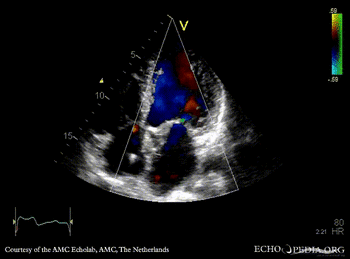
E00846.gif E00847.gif
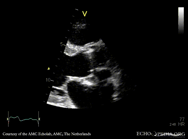
PSAX: abscess of aortic valve prosthesis A4CH with Color Doppler: flow from abscess into the left atrium, severe mitral regurgitation
Magnifier.pngenlarge

Ppt logo.pngdownload file to use in your powerpoint presentation

Magnifier.pngenlarge

Ppt logo.pngdownload file to use in your powerpoint presentation

E00848.gif
A3CH
Magnifier.pngenlarge

Ppt logo.pngdownload file to use in your powerpoint presentation