Case 163

From Echopedia
Jump to navigation Jump to search
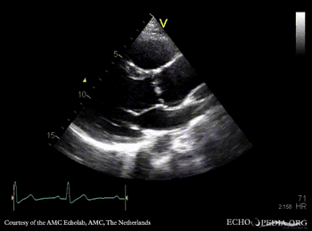
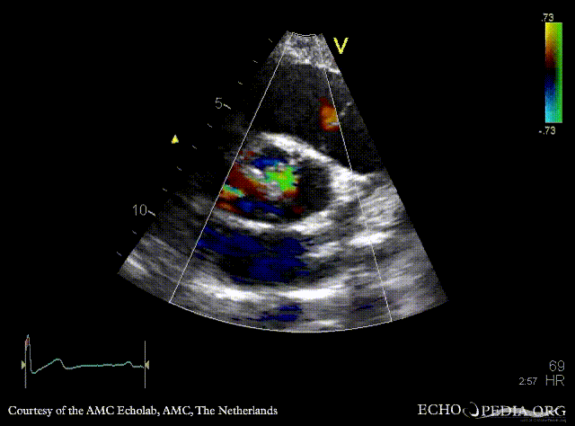
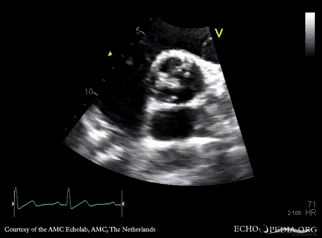
Bicuspid aortic valve, severe aortic regurgitation
Courtesy of: AMC Echolab, AMC, The Netherlands
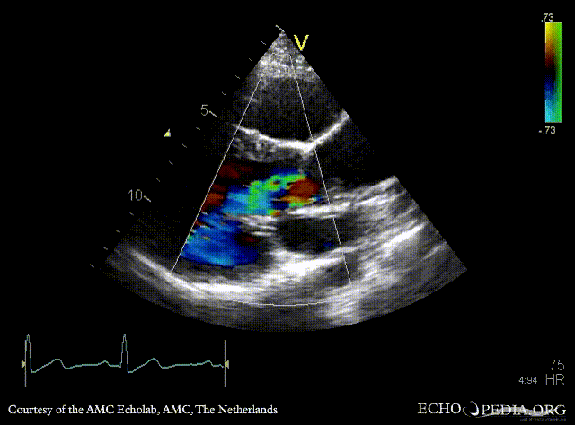
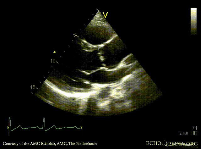
E00853.gif E00854.gif
PLAX: dilated aortic root and left ventricle PLAX with Color Doppler: severe aortic regurgitation
Magnifier.pngenlarge

Ppt logo.pngdownload file to use in your powerpoint presentation

Magnifier.pngenlarge

Ppt logo.pngdownload file to use in your powerpoint presentation

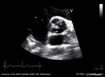
E00855.gif E00856.gif
PSAX: bicuspid aortic valve PSAX with Color Doppler: severe aortic regurgitation
Magnifier.pngenlarge

Ppt logo.pngdownload file to use in your powerpoint presentation

Magnifier.pngenlarge

Ppt logo.pngdownload file to use in your powerpoint presentation

E00857.gif
E00858.jpg
A5CH Continuous-wave Doppler signal of severe aortic regurgitation
Magnifier.pngenlarge

Ppt logo.pngdownload file to use in your powerpoint presentation

E00859.jpg
Pulsed-wave Doppler signal of flow in abdominal aorta: diastolic flow reversal