Case 168

From Echopedia
Jump to navigation Jump to search
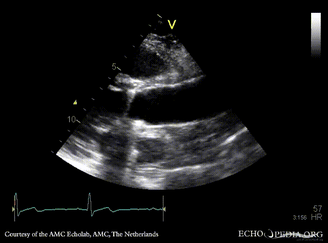
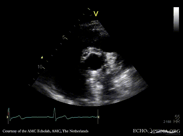
Bentall and aortic valve prosthesis
Courtesy of: AMC Echolab, AMC, The Netherlands
E00871.gif E00872.gif
PLAX: aortic valve prosthesis and Bentall in situ PLAX with Color Doppler
Magnifier.pngenlarge

Ppt logo.pngdownload file to use in your powerpoint presentation

Magnifier.pngenlarge

Ppt logo.pngdownload file to use in your powerpoint presentation

E00873.gif E00874.gif
PSAX: aortic valve prosthesis and Bentall in situ PSAX with Color Doppler
Magnifier.pngenlarge

Ppt logo.pngdownload file to use in your powerpoint presentation

Magnifier.pngenlarge

Ppt logo.pngdownload file to use in your powerpoint presentation