Case 18

Severe aortic regurgitation
Courtesy of: AMC Echolab, AMC, The Netherlands
E00179.gif E00180.gif
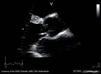
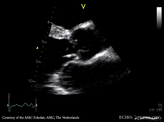
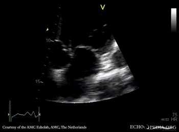
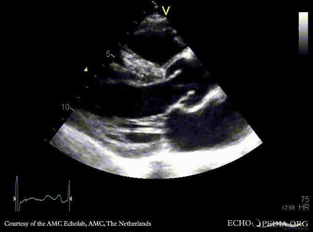
PLAX: aortic valve vegetation, dilated left ventricle PLAX: aortic valve vegetation
Magnifier.pngenlarge

Ppt logo.pngdownload file to use in your powerpoint presentation

Magnifier.pngenlarge

Ppt logo.pngdownload file to use in your powerpoint presentation

E00181.jpg
E00182.gif
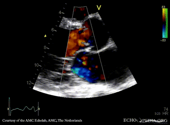
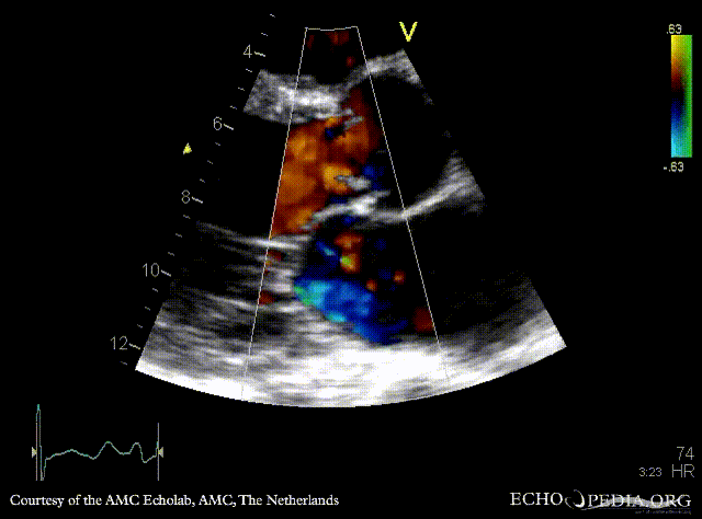
M-Mode through aortic valve PLAX: Color Doppler signal shows severe aortic regurgitation
Magnifier.pngenlarge

Ppt logo.pngdownload file to use in your powerpoint presentation

E00183.gif
E00184.jpg
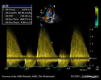
A5CH: Color Doppler signal of severe aortic regurgitation Continuous-wave Doppler signal of severe aortic regurgitation, PHT 135 msec
Magnifier.pngenlarge

Ppt logo.pngdownload file to use in your powerpoint presentation

E00185.gif
E00186.jpg
A5CH: aortic valve vegetation Subcostal view: flow reversal in abdominal aorta
Magnifier.pngenlarge

Ppt logo.pngdownload file to use in your powerpoint presentation