Case 24

24 Cardiac aneurysm
Courtesy of: AMC Echolab, AMC, The Netherlands
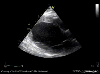
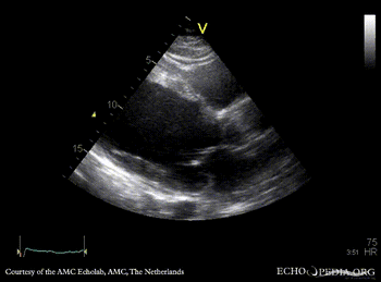
E00217.gif E00218.gif
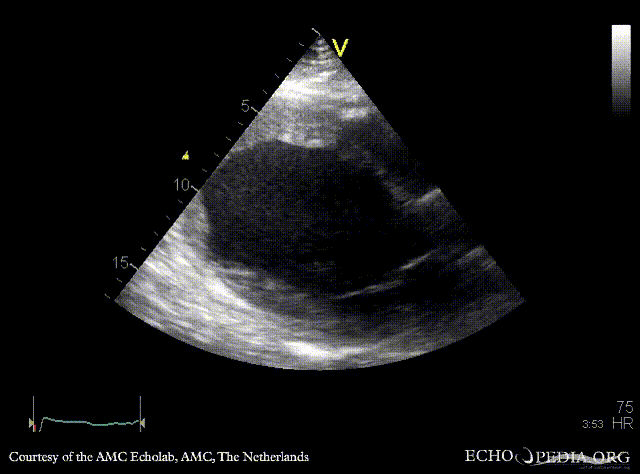
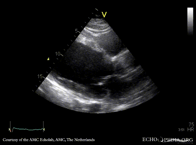
PLAX: dilated left ventricle with poor function PSAX: dilated left ventricle with poor function, spontaneous echo contrast
Magnifier.pngenlarge

Ppt logo.pngdownload file to use in your powerpoint presentation

Magnifier.pngenlarge

Ppt logo.pngdownload file to use in your powerpoint presentation

E00219.gif E00220.gif
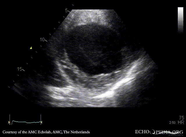
PLAX: cardiac aneurysm, spontaneous echo contrast A4CH: cardiac aneurysm, spontaneous echo contrast
Magnifier.pngenlarge

Ppt logo.pngdownload file to use in your powerpoint presentation

Magnifier.pngenlarge

Ppt logo.pngdownload file to use in your powerpoint presentation

E00221.gif
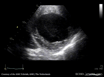
A2CH: cardiac aneurysm
Magnifier.pngenlarge

Ppt logo.pngdownload file to use in your powerpoint presentation