Open main menu
Home
Random
Log in
Settings
About Echopedia
Disclaimers
Echopedia
Search
Case 25
Language
Watch
Edit
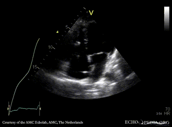
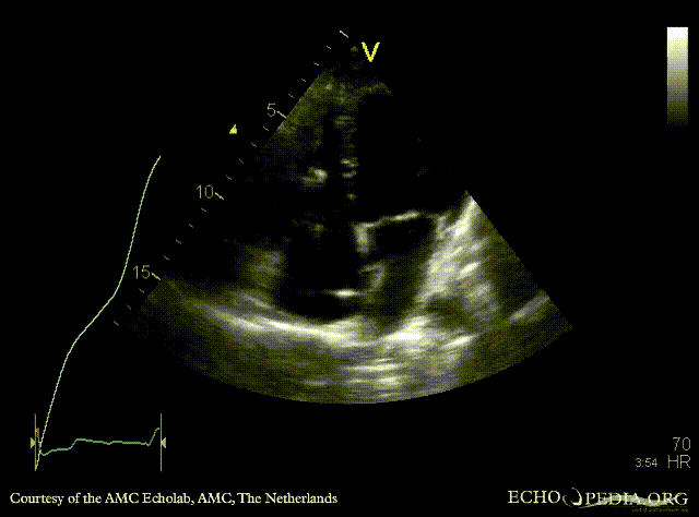
Aneurysm of IAS
Courtesy of:
AMC Echolab, AMC, The Netherlands
A4CH: aneurysm of IAS, "jump rope"
enlarge
download file to use in your powerpoint presentation