Case 26

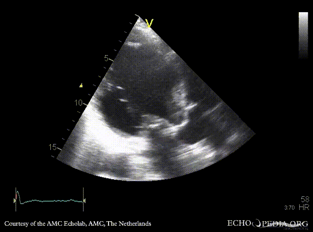
Aneurysm of basal inferior wall
Courtesy of: AMC Echolab, AMC, The Netherlands
E00223.gif E00224.gif
A2CH: aneurysm of basal inferior wall A3CH: aneurysm of basal inferior wall
Magnifier.pngenlarge

Ppt logo.pngdownload file to use in your powerpoint presentation

Magnifier.pngenlarge

Ppt logo.pngdownload file to use in your powerpoint presentation