| Aortic bioprosthesis
|
|
|
| Courtesy of: AMC Echolab, AMC, The Netherlands
|
|
|
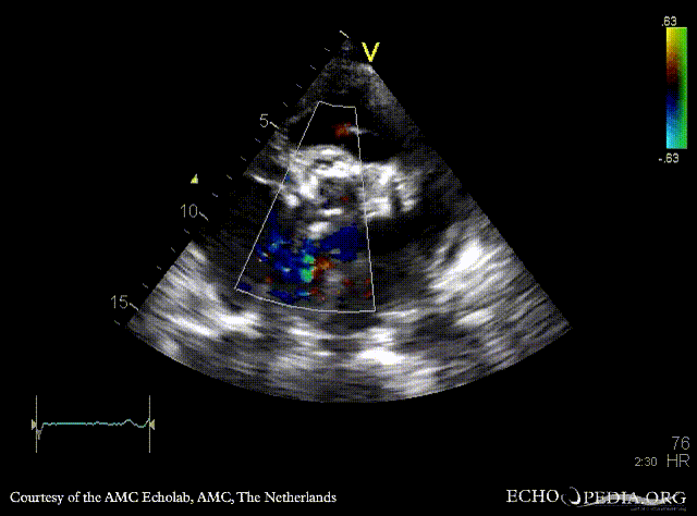
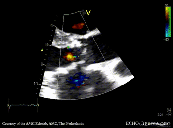
| A3CH: Color Doppler, mild aortic regurgitation
|
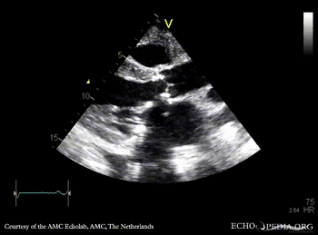
PSAX: aortic bioprosthesis
|
enlarge
download file to use in your powerpoint presentation
|
enlarge
download file to use in your powerpoint presentation
|
|
|
|
|
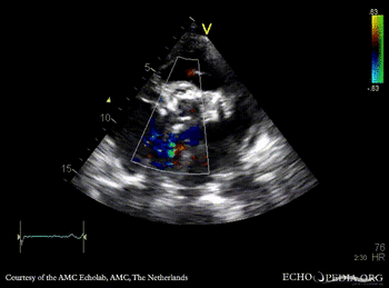
| PSAX: Color Doppler of aortic bioprosthesis
|
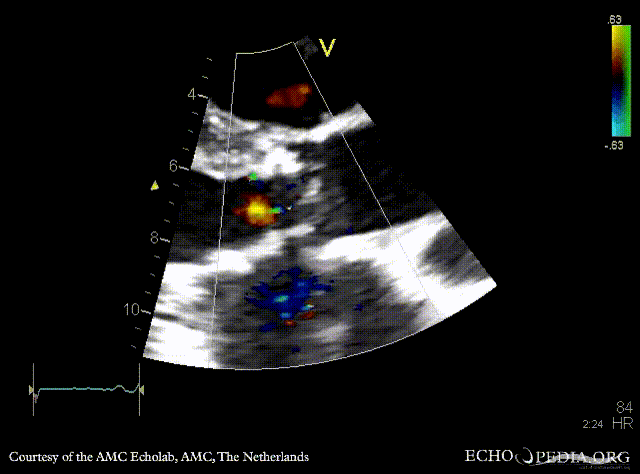
PLAX: Color Doppler, mild aortic regurgitation
|
enlarge
download file to use in your powerpoint presentation
|
enlarge
download file to use in your powerpoint presentation
|
|
|
|
|
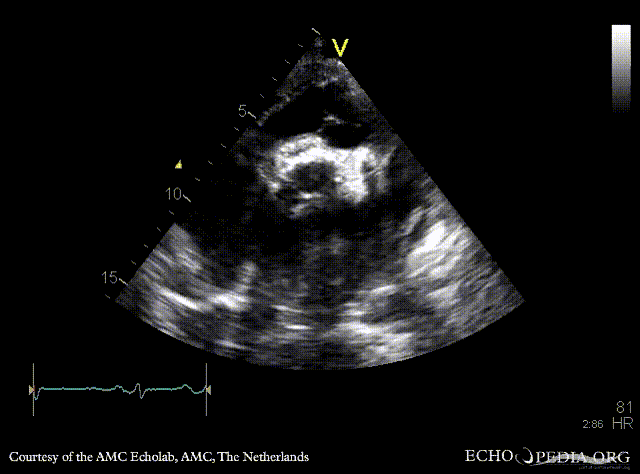
| A3CH: aortic bioprosthesis
|
|
enlarge
download file to use in your powerpoint presentation
|
enlarge
download file to use in your powerpoint presentation
|
|
|
|
|
|
|
|
|
|
|
|
|
|
|
|
|
|
|
|
|
|
|