• Home
  • Random
  • Log in
  • Settings
  • About Echopedia
  • Disclaimers
Echopedia

Case 3

  • Language
  • Watch
  • Edit
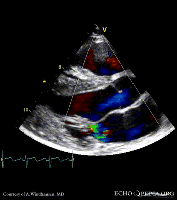
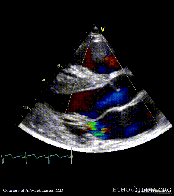
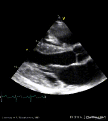
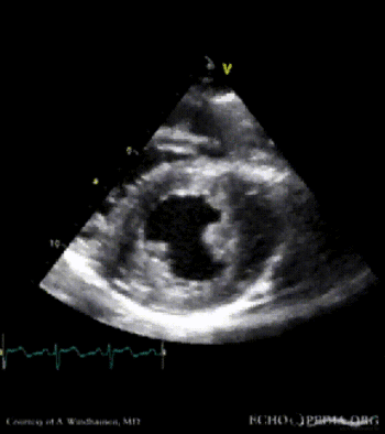
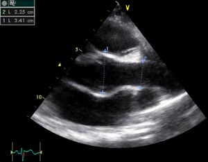
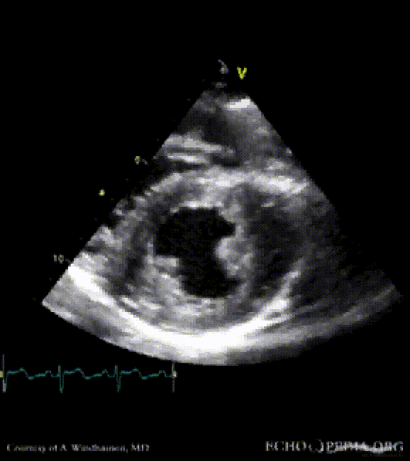
Severe Hypertrophic Cardiomyopathy (HCM)
Case description: Severe Hypertrophic Cardiomyopathy (HCM)
Courtesy of: A. Windhausen, AMC, The Netherlands
MM0001.gif MM0002.gif
A2CH view A4CH view
Magnifier.pngenlarge

Ppt logo.pngdownload file to use in your powerpoint presentation

Magnifier.pngenlarge

Ppt logo.pngdownload file to use in your powerpoint presentation

MM0003.gif MM0010.gif
Magnifier.pngenlarge

Ppt logo.pngdownload file to use in your powerpoint presentation

Magnifier.pngenlarge

Ppt logo.pngdownload file to use in your powerpoint presentation

MM0006.gif
MM0005.jpg
Magnifier.pngenlarge

Ppt logo.pngdownload file to use in your powerpoint presentation

MM0007.gif MM0009.gif
Magnifier.pngenlarge

Ppt logo.pngdownload file to use in your powerpoint presentation

Magnifier.pngenlarge

Ppt logo.pngdownload file to use in your powerpoint presentation

Retrieved from "https://echopedia.org/index.php?title=Case_3&oldid=10810"
Last edited on 1 December 2023, at 20:18
Echopedia
  • This page was last edited on 1 December 2023, at 20:18.
  • Privacy policy
  • About Echopedia
  • Disclaimers
  • Desktop