Case 30

30 Aortic dissection
Courtesy of: AMC Echolab, AMC, The Netherlands
E00243.gif E00244.gif
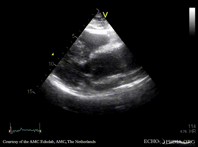
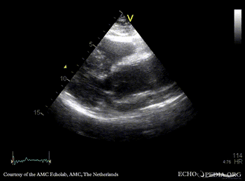
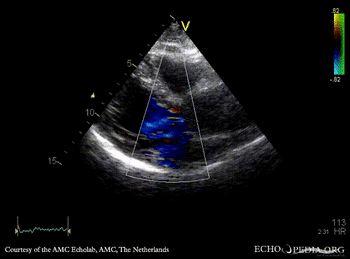
PLAX: dilated aortic root and ascending aorta PLAX: Color Doppler, mild aortic regurgitation
Magnifier.pngenlarge

Ppt logo.pngdownload file to use in your powerpoint presentation

Magnifier.pngenlarge

Ppt logo.pngdownload file to use in your powerpoint presentation

E00245.gif
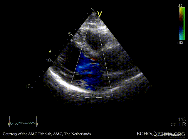
Subcostal view: dissection flap in abdominal aorta
Magnifier.pngenlarge

Ppt logo.pngdownload file to use in your powerpoint presentation