Case 36

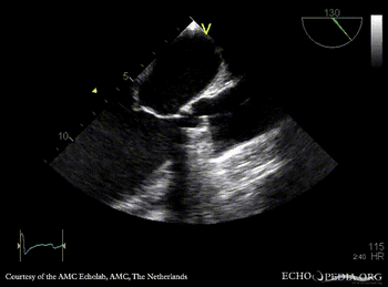
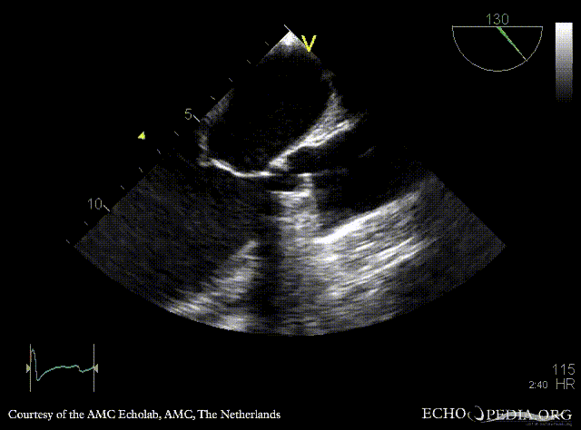
Thrombus of prosthetic aortic valve
Courtesy of: AMC Echolab, AMC, The Netherlands
E00266.gif E00267.gif
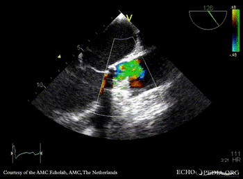
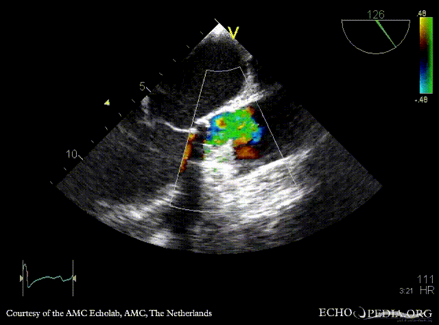
TEE: thrombus of prosthetic aortic valve TEE: severe aortic regirgitation
Magnifier.pngenlarge

Ppt logo.pngdownload file to use in your powerpoint presentation

Magnifier.pngenlarge

Ppt logo.pngdownload file to use in your powerpoint presentation

E00268.jpg
Continuous-wave signal of transaortic flow