Case 37

Abscess of aortic root
Courtesy of: AMC Echolab, AMC, The Netherlands
E00269.gif
E00270.jpg
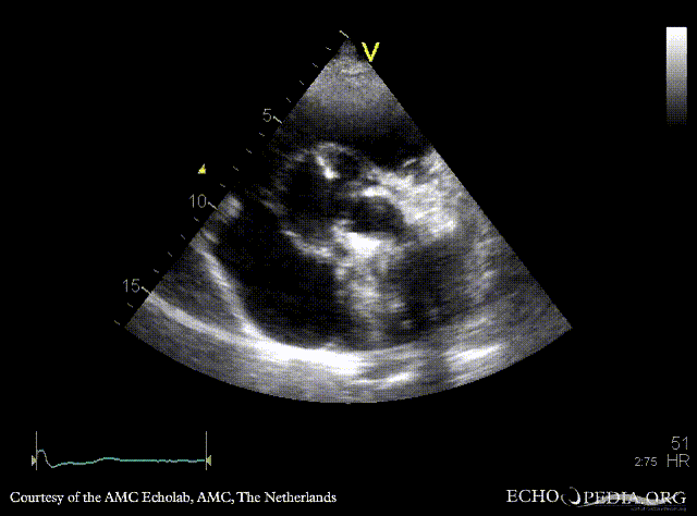
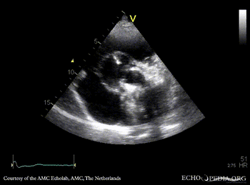
PLAX: dilated aortic root, abscess of aortic root PLAX: dimensions of the abscess
Magnifier.pngenlarge

Ppt logo.pngdownload file to use in your powerpoint presentation

E00271.gif E00272.gif
PSAX: abscess of aortic root A4CH: large abscess of aortic root
Magnifier.pngenlarge

Ppt logo.pngdownload file to use in your powerpoint presentation

Magnifier.pngenlarge

Ppt logo.pngdownload file to use in your powerpoint presentation