Case 47
Jump to navigation
Jump to search
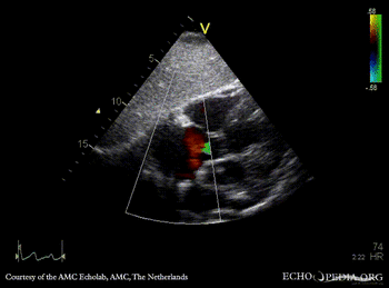
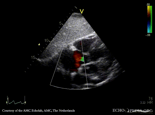
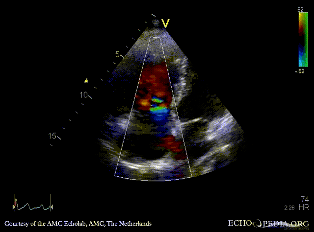
| Courtesy of: AMC Echolab, AMC, The Netherlands | |
| A4CH: ASD type II | A4CH: enlargement of right ventricle and right atrium |
| Subcostal view: ASD type II | |