Case 52

From Echopedia
Jump to navigation Jump to search
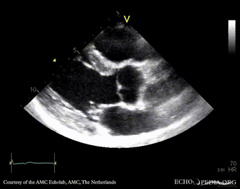
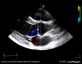
Bicuspid aortic valve
Courtesy of: AMC Echolab, AMC, The Netherlands
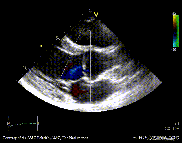
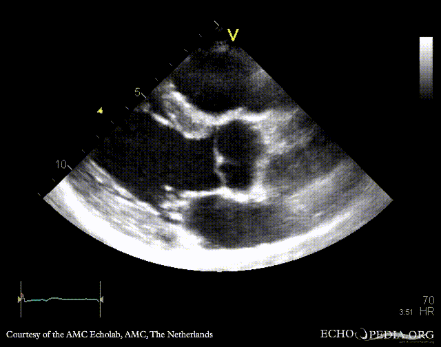
E00335.gif E00336.gif
PLAX: bicuspid aortic valve, doming of aortic valve PLAX: Color Doppler, mild aortic regurgitation
Magnifier.pngenlarge

Ppt logo.pngdownload file to use in your powerpoint presentation

Magnifier.pngenlarge

Ppt logo.pngdownload file to use in your powerpoint presentation

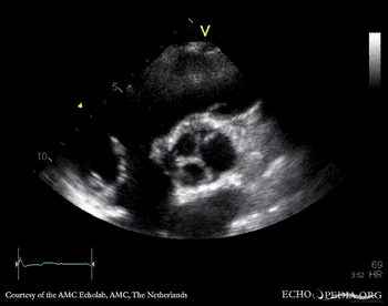
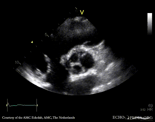
E00337.gif E00338.gif
PSAX: bicuspid aortic valve with raphe PSAX: Color Doppler, mild aortic regurgitation
Magnifier.pngenlarge

Ppt logo.pngdownload file to use in your powerpoint presentation

Magnifier.pngenlarge

Ppt logo.pngdownload file to use in your powerpoint presentation