Case 53

Bicuspid aortic valve
Courtesy of: AMC Echolab, AMC, The Netherlands
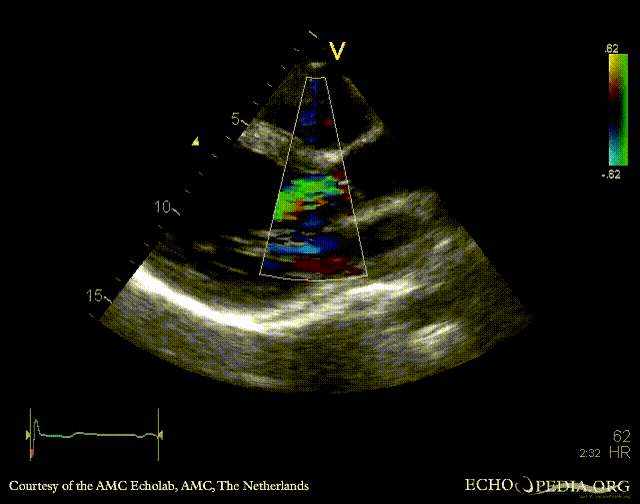
E00339.gif E00340.gif
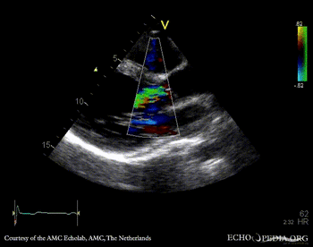
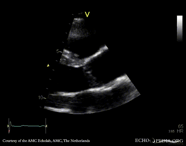
PLAX: thickend aortic valve PLAX: Color Doppler, moderate aortic regurgitation
Magnifier.pngenlarge

Ppt logo.pngdownload file to use in your powerpoint presentation

Magnifier.pngenlarge

Ppt logo.pngdownload file to use in your powerpoint presentation

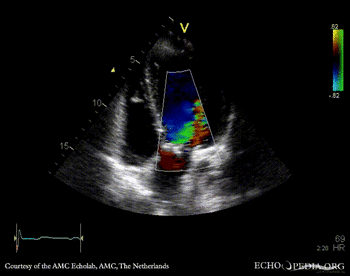
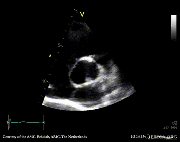
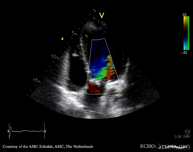
E00341.gif E00342.gif
A5CH: Color Doppler, moderate aortic regurgitation PSAX: bicuspid aortic valve
Magnifier.pngenlarge

Ppt logo.pngdownload file to use in your powerpoint presentation

Magnifier.pngenlarge

Ppt logo.pngdownload file to use in your powerpoint presentation

E00343.jpg
E00344.jpg
Continuous-wave signal of transaortic flow, mild aortic valve stenosis Continuous-wave signal of aortic regurgitation