Case 55

From Echopedia
Jump to navigation Jump to search
Carcinoid
Courtesy of: AMC Echolab, AMC, The Netherlands
E00346.gif E00347.gif
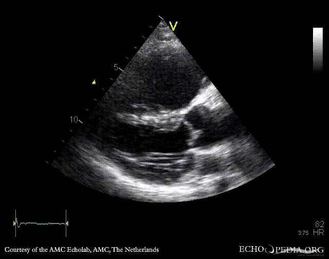
PLAX: enlarged right ventricle in patient with carcinoid PSAX: enlarged right ventricle in patient with carcinoid, diastolic flattening of IAS
Magnifier.pngenlarge

Ppt logo.pngdownload file to use in your powerpoint presentation

Magnifier.pngenlarge

Ppt logo.pngdownload file to use in your powerpoint presentation

E00348.gif E00349.gif
A4CH: stiff, immobile tricuspid valve A4CH: severe tricuspid regurgitation
Magnifier.pngenlarge

Ppt logo.pngdownload file to use in your powerpoint presentation

Magnifier.pngenlarge

Ppt logo.pngdownload file to use in your powerpoint presentation

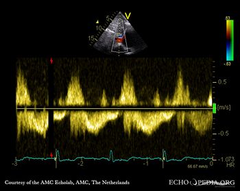
E00350.jpg
E00351.jpg
Pulsed-wave signal of hepatic venous flow: systolic flow reversal Continuous-wave signal of transtricuspid flow