| Cleft of mitral valve
|
|
|
| Courtesy of: AMC Echolab, AMC, The Netherlands
|
|
|
| PLAX: thickend mitral valve leaflets
|
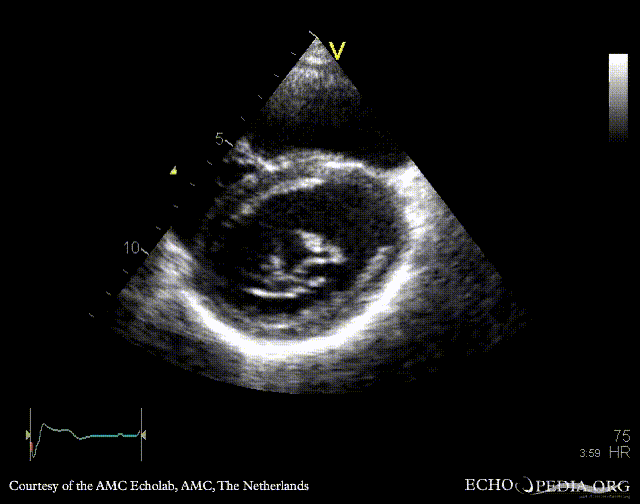
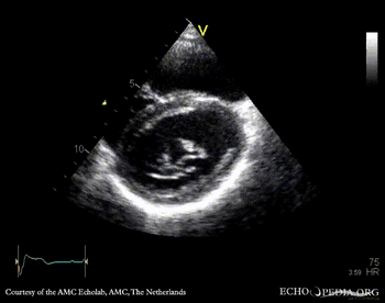
PSAX: cleft of mitral valve
|
enlarge
download file to use in your powerpoint presentation
|
enlarge
download file to use in your powerpoint presentation
|
|
|
|
|
| PLAX: color doppler, mitral regurgitation
|
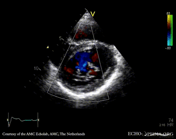
PSAX
|
enlarge
download file to use in your powerpoint presentation
|
enlarge
download file to use in your powerpoint presentation
|
|
|
|
|
| A4CH: severe mitral regurgitation
|
|
enlarge
download file to use in your powerpoint presentation
|
|
|
|
|
|
|
|
|
|
|
|
|
|
|
|
|
|
|
|
|
|
|
|