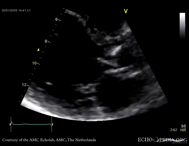
Aortic valve endocarditis with vegetation
Case description: This patient had endocarditis with an aortic valve vegetation
Courtesy of: J. Vleugels, AMC, The Netherlands
E00114.gif E00115.gif
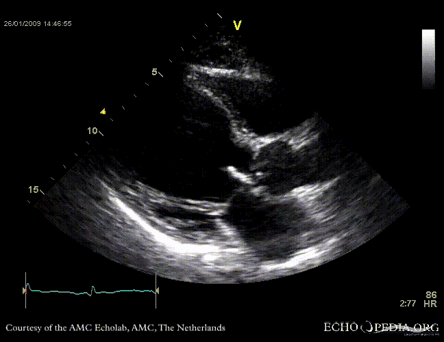
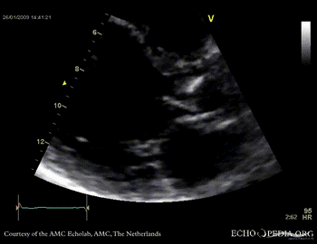
PLAX showing an aortic valve vegetation PLAX Excentric aortic valve regurgitation
Magnifier.pngenlarge

Ppt logo.pngdownload file to use in your powerpoint presentation

Magnifier.pngenlarge

Ppt logo.pngdownload file to use in your powerpoint presentation

E00117.gif E00119.gif
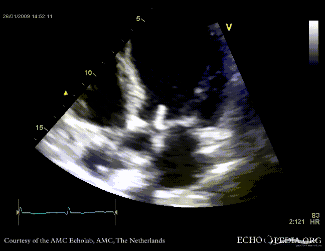
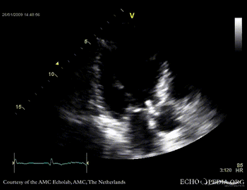
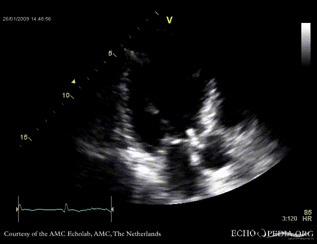
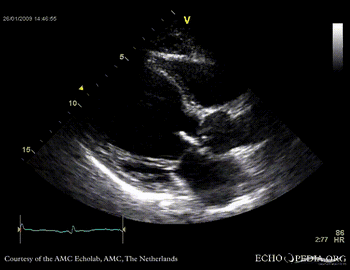
PLAX aortic valve vegetation A3CH aortic valve vegetation
Magnifier.pngenlarge

Ppt logo.pngdownload file to use in your powerpoint presentation

Magnifier.pngenlarge

Ppt logo.pngdownload file to use in your powerpoint presentation

E00120.gif
E00121.jpg
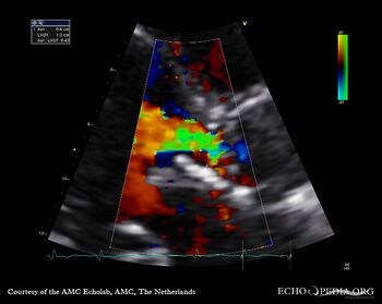
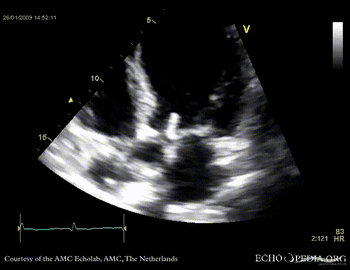
A5CH aortic valve vegetation Aortic valve regurgitation jet
Magnifier.pngenlarge

Ppt logo.pngdownload file to use in your powerpoint presentation