Case 60

From Echopedia
Jump to navigation Jump to search
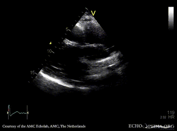
Compression of right atrium
Courtesy of: AMC Echolab, AMC, The Netherlands
E00364.gif E00365.gif
A4CH: Compression of right atrium by aneurysm of ascending aorta PLAX: large aneurysm of ascending aorta, Bentall in situ
Magnifier.pngenlarge

Ppt logo.pngdownload file to use in your powerpoint presentation

Magnifier.pngenlarge

Ppt logo.pngdownload file to use in your powerpoint presentation