Open main menu
Home
Random
Log in
Settings
About Echopedia
Disclaimers
Echopedia
Search
Case 62
Language
Watch
Edit
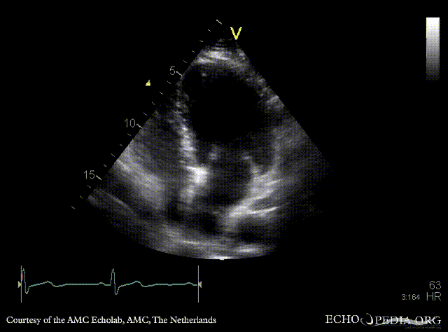
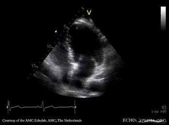
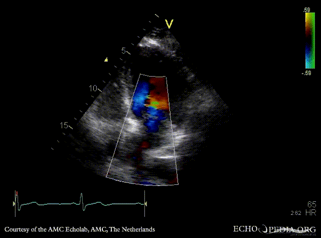
Cor triatriatum
Courtesy of:
AMC Echolab, AMC, The Netherlands
A4CH: Cor triatriatum
A4CH: Color Doppler
enlarge
download file to use in your powerpoint presentation
enlarge
download file to use in your powerpoint presentation