Case 65
| Courtesy of: AMC Echolab, AMC, The Netherlands | |
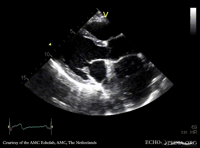
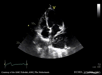
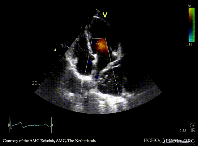
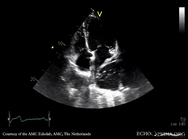
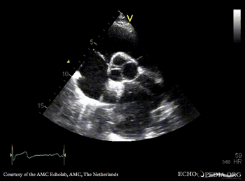
| PLAX: large cyst adjacent to left atrium, compression of LA | PSAX |
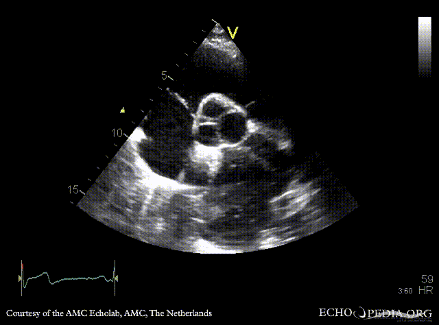
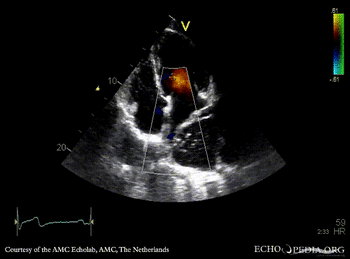
| A4CH | A4CH color doppler |
| Courtesy of: AMC Echolab, AMC, The Netherlands | |
| PLAX: large cyst adjacent to left atrium, compression of LA | PSAX |
| A4CH | A4CH color doppler |