Case 66

From Echopedia
Jump to navigation Jump to search
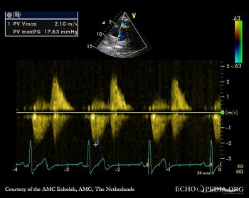
Severe pulmonary regurgitation
Courtesy of: AMC Echolab, AMC, The Netherlands
E00380.gif
E00381.jpg
PSAX: Color Doppler, severe pulmonary regurgitation Continuous-wave signal of transpulmonary flow
Magnifier.pngenlarge

Ppt logo.pngdownload file to use in your powerpoint presentation

E00382.gif
A4CH: diastolic tricuspid regurgitation
Magnifier.pngenlarge

Ppt logo.pngdownload file to use in your powerpoint presentation