Case 67
| Courtesy of: AMC Echolab, AMC, The Netherlands | |
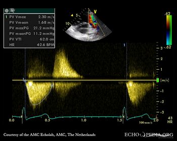
| PSAX with Color Doppler: dilated pulmonary artery in Marfan patient | Continuous-wave signal of transpulmonary flow |
| Courtesy of: AMC Echolab, AMC, The Netherlands | |
| PSAX with Color Doppler: dilated pulmonary artery in Marfan patient | Continuous-wave signal of transpulmonary flow |