Case 68

From Echopedia
Jump to navigation Jump to search
Bicuspid aortic valve
Courtesy of: AMC Echolab, AMC, The Netherlands
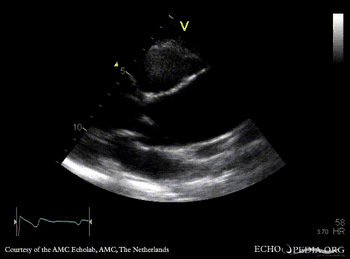
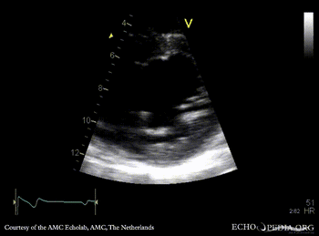
E00385.gif E00386.gif
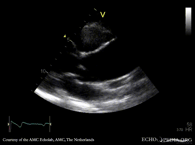
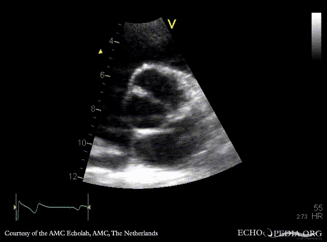
PLAX: dilated ascending aorta in patient with bicuspid aortic valve PSAX: bicuspid aortic valve
Magnifier.pngenlarge

Ppt logo.pngdownload file to use in your powerpoint presentation

Magnifier.pngenlarge

Ppt logo.pngdownload file to use in your powerpoint presentation

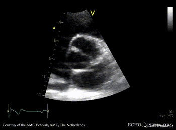
E00387.gif
E00388.jpg
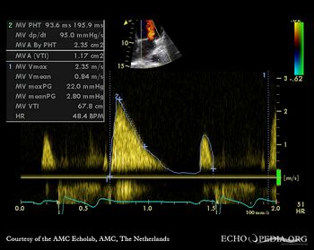
PSAX: Color Doppler, mild excentric aortic regurgitation Continuous-wave signal of transaortic flow: aortic bicuspid valve stenosis
Magnifier.pngenlarge

Ppt logo.pngdownload file to use in your powerpoint presentation

E00389.gif
E00390.jpg
PSAX: double orifice of mitral valve Continuous-wave signal of mitral inflow
Magnifier.pngenlarge

Ppt logo.pngdownload file to use in your powerpoint presentation