Open main menu
Home
Random
Log in
Settings
About Echopedia
Disclaimers
Echopedia
Search
Case 7
Language
Watch
Edit
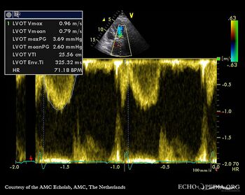
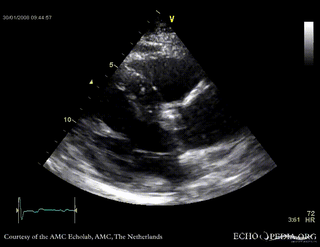
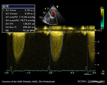
Aortic valve stenosis
Courtesy of:
J. Vleugels, AMC, The Netherlands
AoS13
AoS17
AoS18
AoS1
enlarge
download file to use in your powerpoint presentation
AoS3
AoS6
enlarge
download file to use in your powerpoint presentation
enlarge
download file to use in your powerpoint presentation
AoS9
enlarge
download file to use in your powerpoint presentation