Open main menu
Home
Random
Log in
Settings
About Echopedia
Disclaimers
Echopedia
Search
Case 71
Language
Watch
Edit
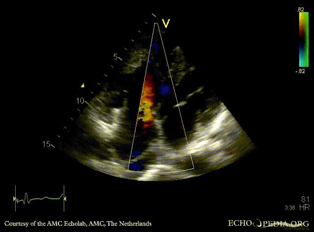
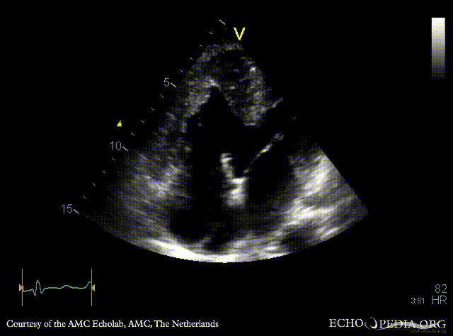
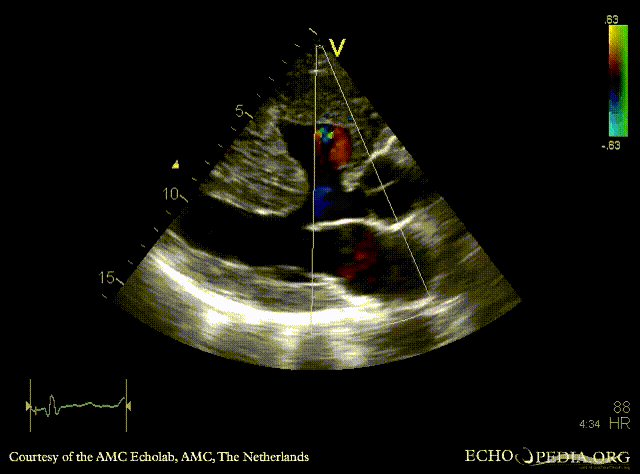
Large VSD, syndrome of Eisenmenger
Courtesy of:
AMC Echolab, AMC, The Netherlands
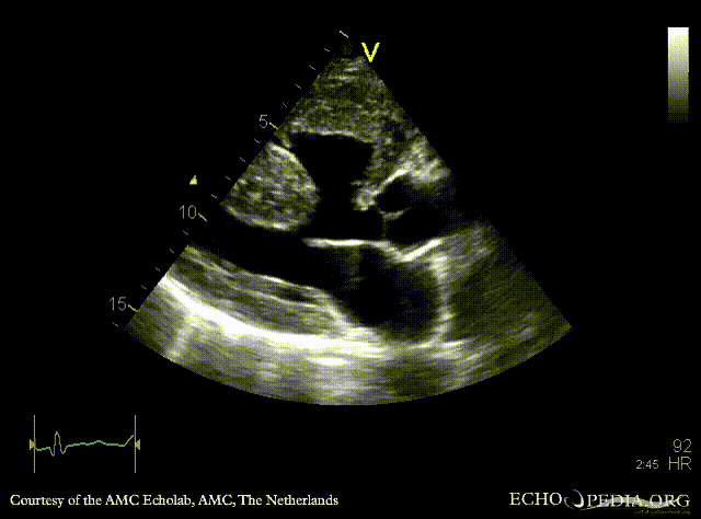
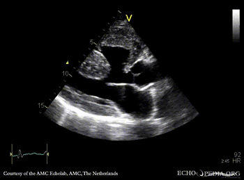
PLAX: Large VSD
PSAX: Color Doppler of large VSD
enlarge
download file to use in your powerpoint presentation
enlarge
download file to use in your powerpoint presentation
A4CH
A4CH: Color Doppler
enlarge
download file to use in your powerpoint presentation
enlarge
download file to use in your powerpoint presentation