Case 75

From Echopedia
Jump to navigation Jump to search
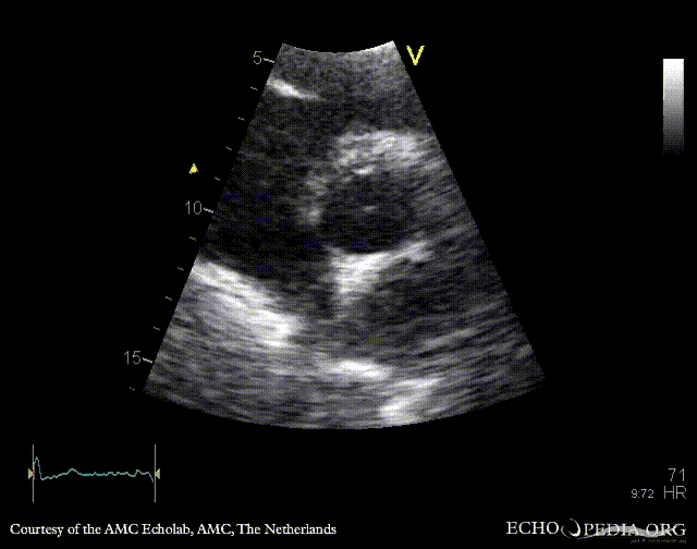
Endocarditis of aortic valve
Courtesy of: AMC Echolab, AMC, The Netherlands
E00416.gif E00417.gif
PLAX: vegetation on aortic valve PSAX: vegetation on aortic valve
Magnifier.pngenlarge

Ppt logo.pngdownload file to use in your powerpoint presentation

Magnifier.pngenlarge

Ppt logo.pngdownload file to use in your powerpoint presentation

E00418.gif E00419.gif
PLAX: Color Doppler, moderate aortic regurgitation PSAX
Magnifier.pngenlarge

Ppt logo.pngdownload file to use in your powerpoint presentation

Magnifier.pngenlarge

Ppt logo.pngdownload file to use in your powerpoint presentation

E00420.gif E00421.gif
A3CH: vegetation on aortic valve A3CH: moderate aortic regurgitation
Magnifier.pngenlarge

Ppt logo.pngdownload file to use in your powerpoint presentation

Magnifier.pngenlarge

Ppt logo.pngdownload file to use in your powerpoint presentation

E00422.jpg
Continuous-wave signal of moderate aortic regurgitation