Case 88

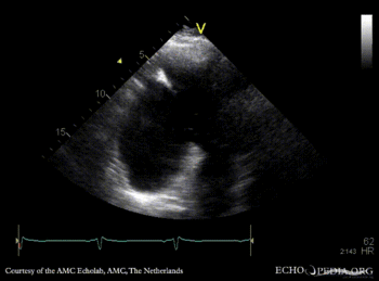
Large pseudoaneurysm of posterior wall
Courtesy of: AMC Echolab, AMC, The Netherlands
E00493.gif E00494.gif
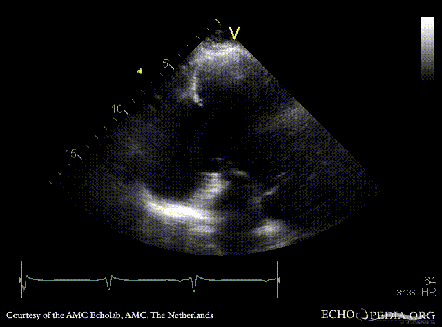
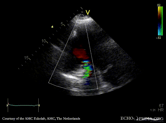
PLAX: large pseudoaneurysm of posterior wall PLAX: Color Doppler, severe mitral regurgitation
Magnifier.pngenlarge

Ppt logo.pngdownload file to use in your powerpoint presentation

Magnifier.pngenlarge

Ppt logo.pngdownload file to use in your powerpoint presentation

E00495.gif E00496.gif
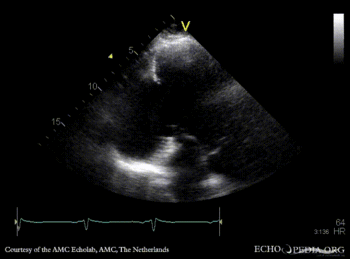
A3CH: large pseudoaneurysm of posterior wall, spontaneous echocontrast A3CH: Color Doppler, severe mitral regurgitation
Magnifier.pngenlarge

Ppt logo.pngdownload file to use in your powerpoint presentation

Magnifier.pngenlarge

Ppt logo.pngdownload file to use in your powerpoint presentation

E00497.gif
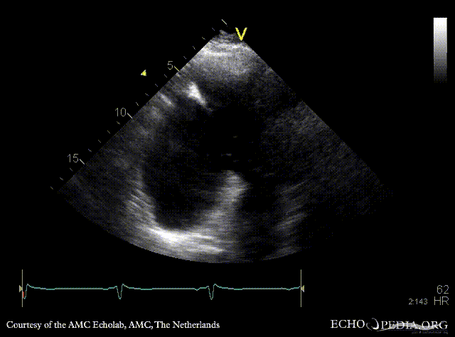
A2CH: large pseudoaneurysm of posterior wall, spontaneous echocontrast
Magnifier.pngenlarge

Ppt logo.pngdownload file to use in your powerpoint presentation