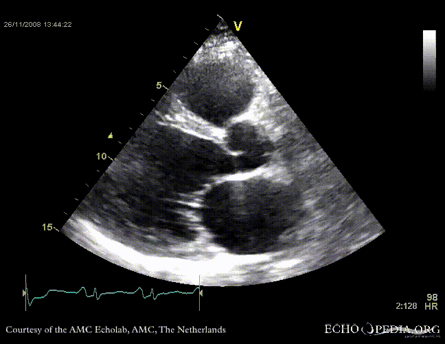
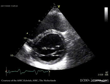
Dilated cardiomyopathy with severe mitral valve regurgitation
Courtesy of: J. Vleugels, AMC, The Netherlands
E00139.jpg
E00134.gif
DCM met ernstige Mi 10 DCM met ernstige Mi 1
Magnifier.pngenlarge

Ppt logo.pngdownload file to use in your powerpoint presentation

E00135.gif E00136.gif
DCM met ernstige Mi 2 DCM met ernstige Mi 3
Magnifier.pngenlarge

Ppt logo.pngdownload file to use in your powerpoint presentation

Magnifier.pngenlarge

Ppt logo.pngdownload file to use in your powerpoint presentation

E00137.gif E00138.gif
DCM met ernstige Mi 4 DCM met ernstige Mi 5
Magnifier.pngenlarge

Ppt logo.pngdownload file to use in your powerpoint presentation

Magnifier.pngenlarge

Ppt logo.pngdownload file to use in your powerpoint presentation