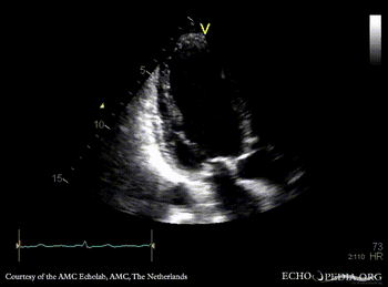
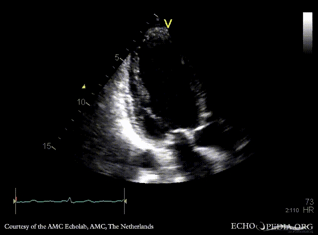
Case 95

Apical and anteroseptal infarction
Courtesy of: AMC Echolab, AMC, The Netherlands
E00531.gif E00532.gif
A4CH: dilated left ventricle, poor function, akinesia of the apex and all midsegments A2CH
Magnifier.pngenlarge

Ppt logo.pngdownload file to use in your powerpoint presentation

Magnifier.pngenlarge

Ppt logo.pngdownload file to use in your powerpoint presentation

E00533.gif
A3CH
Magnifier.pngenlarge

Ppt logo.pngdownload file to use in your powerpoint presentation