Pulmonary

From Echopedia
Jump to navigation Jump to search

Anatomy

The pulmonary valve is a tricuspid valve is similar in construction and size of the aortic valve. The valve has a right (R) -, a left (L) - and an anterior slip valve (A). The pulmonary valve is slightly above, left anterior aortic valve.1

Pulmvalv.svg

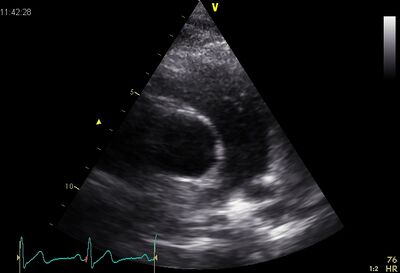
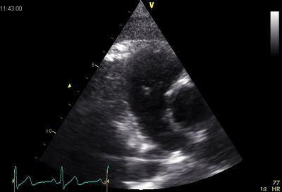
Echocardiographic views

Pulm art02.jpg Pulm art03.jpg
PSAX ao Plax by tilted

Stenosis

Stenosis of the pulmonary valve is very rare. Although as with aortic stenosis, the cause may be located above or below the valve, the valve usually is a wrong engineered valve. Which is then deformes into a dome formation with a small opening.

Causes 2
Congenital Tetralogy of Falot
Acquired
  • Rheumatic fever
  • Tumor

Tetralogy of Fallot

Tetralogy of Fallot is a heart defect described by Etienne Fallot (1850-1911), with four different heart defects occur:

  • Pulmonaalstenose
  • VSD
  • RV Hypertrophy
  • About propelled aortic

Tetralogy of Fallot results in a lower concentration of oxygen in the blood by the mixing of oxygen - rich blood into the ventricles. The obstruction of the pulmonary valve ensures that the blood from the right ventricle to the aorta flows through the ventricular septal defect. Usually this syndrome is marked by cyanosis of the baby. Thus this disorder was formerly called "blue baby syndrome". There are also "pink fallots", where the obstruction of the pulmonary valve is less severe. These patients are usually detected with an image of heart failure by excessive flow of the pulmonary vascular tree. In rare cases, there is a balanced position, wherein the stenosis is large enough in order to protect (against over-flow), and is low enough not to cause too much cyanosis pulmonary vascular.

Click here for more info on Tetralogy of Fallot

Insufficiency

Pulmonary insufficiency is a volume load on the RV. Important insufficiency will lead to RV dilation. This volume will load the RV into long endure, but will eventually lead to RV failure.

Causes 3
Physiologic Is found in 40-80% of people
Congenital Incorrectly laid valve cusps or absence of (partial) cover slip.
Acquired
  • As a result of pulmonary hypertension.
  • By balloon dilation or plastic PV at correcting pulmonary stenosis.
  • Carcinoid
  • Endocarditis.

References

<biblio>

  1. 1 Geisinger - How the Heart Works
  2. 2 pmid=19065003
  3. 3 pmid=20375260

</biblio>