Pulmonary Artery
Anatomy
The pulmonary artery carries deoxygenated blood from the right ventricle to the lungs. It is the only artery that carries deoxygenated blood transported.
The pulmonary trunk (TP) starts from the pulmonary valve is ± 5 cm and ± 2 cm in diameter. Then splits into two branches, the trunk, the left-hand (aps) -, and right pulmonary artery (APD), which carry the oxygen-depleted blood to the corresponding lungs.
| Picture Source: Cove Point Foundation 1 |
|---|
| PA diameter 2 | ||||
| Reference range | Mildly abnormal | Moderately abnormal | Severely abnormal | |
|---|---|---|---|---|
| 1cm Below pulmonic valve | 1.5–2.1 | 2.2–2.5 | 2.6–2.9 | ≥3.0 |
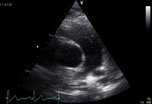
| Plax by tilted (Plax PV) | PSax Ao |
|---|---|
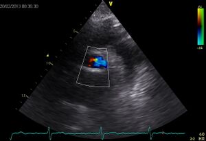
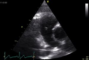
| Suprasternal apd (color doppler) | Dilated apd (Plax PV) |
References
<biblio>
- 1 Cove Point Foundation - Congenital Heart Disease
- 2 pmid=3730205
</biblio>