Benign tumors

Usually, a cardiac tumor is benign in nature. A benign tumor has a good prognosis at thrombi. Vegetations and some tumors are the most at risk embolism.

(Primary) Benign tumors
Myxoma
  • Most common primary cardiac tumor (50-75%).
  • Location: 90% atrial (LA 75%), 7% ventricular.
  • Size: 1 - 15cm (usually 5 - 6cm)
Fibroma
  • The second most common primary cardiac tumor.
  • Location: Almost always ventricular (septal or apical).
  • Size: ± 10cm.
Papillary fibroelastoma
  • Most common valve tumor.
  • Location: whole heart, usually aortic valve (35%).
  • Size: ± 1cm.
Lipoma
  • Usually, on the basis of the endocardium.
  • Location: whole heart including valves and pericardium.
  • Size: up to ± 10cm.
Rhabdomyoma
  • Most common benign cardiac tumor in children.
  • Location: usually ventricular, no valve involvement.
  • Size: 1mm - 9cm.
Hemangioma
  • Tumor blood, proliferation endothelial cells
  • Location: whole heart
Lambl's excrescences
  • Valvular choir dd. fibroelastoma, thrombus, vegetation.
  • Location: ventricular side of aortic valve.
  • Size: ± 1cm
Cysts
  • Congenital unnatural body cavity delimited by epithelium.
  • Location: usually in the right atrium (right cardiophrenic corner).
Thrombi
  • Clots of blood by slow blood flow.
  • Location: Left atrial appendage in atrial fibrillation, akinetic myocardial infarction or cardiomyopathies, prosthetic valves or infectious valves, atrial septal ASD/PFO.

 

Malignant tumors

Primary malignant tumors are very rare. The most common malignant cardiac tumors are secondary tumors derived from primary diseases (see table below). 3% of all patients with cancer receive cardiac metastases through the four "pathways": direct infiltration, haematogenically (through blood), lymph vessels (VCI, pulmonary veins). Malignant tumors have a poor prognosis: In malignant tumors the major risk is of the malignancy itself.

Primary malignant tumors
Angiosarcoma
  • Most common primary malignant cardiac tumor
  • Location: 90% right atrium
Rhabdomyosarcoma
  • Second most common primary malignant cardiac tumor, often in children than adults
  • Location: whole heart
Mesothelioma
  • Cover visceral and parietal pericardium, no growth in endocardium.
Secondary malignant tumors
Metastases
  • Melanoma
  • Lung Cancer
  • Breast cancer
  • Sarcoma
  • Renal cell carcinoma
  • Leukemia
  • Lymphoma
  • Oesophagus cancer
  • Hepatocellular carcinoma
  • Thyroid cancer
Overview of the locations of the most common cardiac tumors
Location Tumor
left atrium
  • Myxoma
  • Thrombus
  • Papillary fibroelastoma
  • Sarcoma
Eight atrium
  • Myxoma
  • Angiosarcoma
  • Lymphoma
  • Thrombus
  • Papillary fibroelastoma
Left ventricular
  • Fibroma
  • Rhabdomyoma
  • Thrombus
  • Papillary fibroelastoma
Right ventricle
  • Fibroma
  • Rhabdomyoma
  • Angiosarcoma
  • Lymphoma
  • Thrombus
  • Papillary fibroelastoma
Examples1
Video  
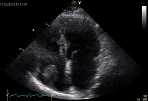
Myxoma LA Thrombus RA
Video
Vegetation TV

References

<biblio>

  1. 1 Hamer, J.P.M. “Cardiale massa’s”, in: Hamer/Pieper, ‘Praktische echocardiografie’, (2006), 1e druk 2e oplage, Houten, Bohn Stafleu van loghum, p.198-207.

</biblio>