Case 149
Jump to navigation
Jump to search
| Courtesy of: AMC Echolab, AMC, The Netherlands | |
| <html5media height="350" width="279" autoplay="true" loop="true">File:E00772.mp4</html5media> | <html5media height="350" width="279" autoplay="true" loop="true">File:E00773.mp4</html5media> |
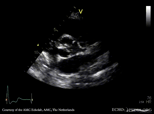
| PLAX: concentric hypertrophy of left ventricle, thickend aortic valve | PSAX: concentric hypertrophy of left ventricle |
| <html5media height="350" width="279" autoplay="true" loop="true">File:E00774.mp4</html5media> | <html5media height="350" width="279" autoplay="true" loop="true">File:E00775.mp4</html5media> |
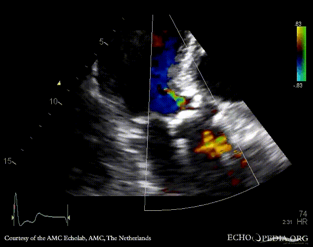
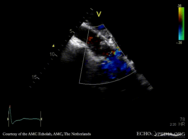
| PSAX: stenosis of aortic valve | PLAX with Color Doppler: high velocity transaortic flow, mild aortic regurgitation |
| <html5media height="350" width="279" autoplay="true" loop="true">File:E00776.mp4</html5media> | <html5media height="350" width="279" autoplay="true" loop="true">File:E00777.mp4</html5media> |
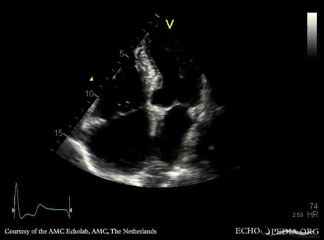
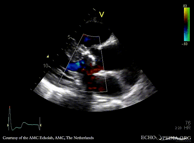
| A4CH: concentric hypertrophy of left ventricle | A3CH with Color Doppler: high velocity transaortic flow, mild aortic regurgitation |
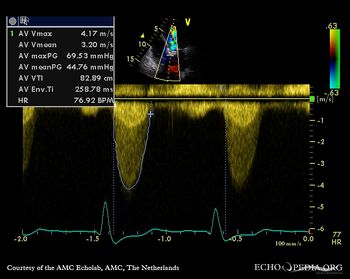
| Continuous-wave Doppler signal of transaortic flow | Pulsed-wave signal of flow in LVOT |
| <html5media height="350" width="279" autoplay="true" loop="true">File:E00780.mp4</html5media> | <html5media height="350" width="279" autoplay="true" loop="true">File:E00781.mp4</html5media> |
| Subcostal view: plaque in abdominal aorta | Subcostal view: plaque in abdominal aorta |