Vena Cava Superior Sinistra Persistent (VCSSP)
Jump to navigation
Jump to search
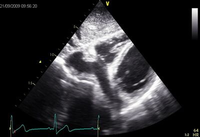
A persistent left superior vena cava is the most common variation of the thoracic venous system. A VCSSP comes in 0.3% of the population. In one VCSSP, the left brachiocephalic vein is not fully developed, and the left upper extremity, the head and neck have their drain into the right atrium via the coronary sinus, with the result that the coronary sinus to dilate by volume overloads.
VCSSP is considered benign, but is very often associated with cardiac abnormalities (eg, ventricular septal defect, atrioventricular septal defect) which have a significant mortality and morbidity rate. It is rarely isolated but more often in patients with congenital heart defects .
| Video | Video |
| Coronary sinus dilation (Plax) | Coronary sinus with contrast (Plax) |
|---|---|
| Dilated coronary sinus on AP4CH | Dilated coronary sinus subcostal |
References
<biblio>
- 1 EC Cheriex, "Left atrium and investigated", Hamer/Pieper, "Practical echocardiography", (2006), 1st edition 2nd edition, Wood, Bohn Stafleu of Loghum, p.42-53.
</biblio>